mri ct x-ray 차이 뭐가 다른지 딱 정리!
- 오늘의 회복일기
- 2025. 10. 24.
mri ct x-ray 차이 뭐가 다른지 딱 정리!
건강검진이나 병원 진료를 받을 때 'MRI 찍어보자', 'CT가 필요하겠다', '일단 X-ray부터 찍을게요'라는 말을 자주 듣게 됩니다. 모두 몸 안을 들여다보는 영상검사지만, 각각 어떤 원리로 어떤 상황에서 쓰이는지 잘 모르고 넘어가는 경우가 많죠. 저 역시 처음엔 MRI와 CT를 헷갈렸고, 비용이나 방사선 노출에 대한 걱정도 있었어요.
그래서 오늘은 이 세 가지 검사에 대한 차이를 쉽게 정리해보려 합니다. 각각의 장단점은 물론, 가격 차이와 방사선 노출, 검사 시간, 정확도, 주의사항까지 모두 다룰 예정이에요. 글을 끝까지 읽으시면 어떤 상황에 어떤 검사를 받아야 할지 감이 올 거예요. 지금부터 MRI, CT, X-ray의 진짜 차이를 하나씩 알아볼게요!

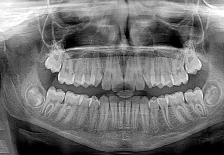
mri와 ct의 차이점
병원에 가면 MRI나 CT 찍자고 하는 경우가 종종 있어요. 겉보기엔 비슷해 보여도 이 둘은 검사 방식부터 목적까지 완전히 다릅니다. 제 친구는 얼마 전 무릎 통증으로 병원을 갔는데, 의사 선생님이 X-ray 먼저 찍고 나중에 MRI를 추가로 권하더라고요. 알고 보니 뼈 상태는 괜찮은데 인대 손상이 의심돼서 MRI로 확인해야 했대요. 이렇게 MRI는 자기장과 전파를 이용해 근육, 인대, 뇌처럼 부드러운 조직을 자세히 살펴볼 수 있고, CT는 X선을 여러 방향에서 쏴서 컴퓨터로 이미지를 만들어내기 때문에 응급상황에서 빠른 진단에 유리해요.
mri와 ct의 차이점가격 비교
검사 비용도 꽤 차이가 납니다. MRI는 병원급에 따라 다르지만 보통 40만 원에서 100만 원 이상까지도 나올 수 있어요. 저는 작년에 허리디스크 때문에 대학병원에서 MRI 찍었는데 보험 안 되니 65만 원 가까이 나왔어요. 반면 CT는 좀 더 저렴한 편이고, 보통 5만 원에서 30만 원 정도면 받을 수 있어요. X-ray는 훨씬 저렴해서 병원 진료 중 1만 원 이하로 찍을 수 있는 경우도 많고요. 그래서 비용 생각하면 처음에는 X-ray로 시작하고, 필요할 때만 CT나 MRI로 넘어가는 경우가 많습니다.


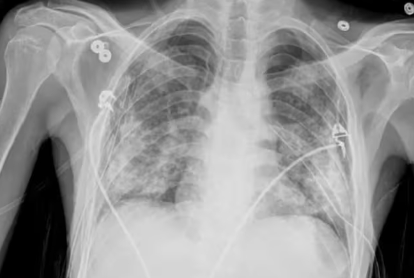
X-ray 방사선 위험성
X-ray는 방사선을 사용하는 검사라 걱정하는 분들도 많죠. 아이가 있는 부모님은 괜찮을지 걱정부터 하세요. 하지만 일반적인 X-ray 한 번으로 받는 방사선량은 아주 적은 편이고, 의학적으로 얻는 정보가 더 크기 때문에 의료 현장에서는 안전하게 사용되고 있어요. 다만 임산부나 어린이는 조심할 필요가 있고, 보호 장비를 꼭 착용해야 합니다. CT는 X-ray보다 방사선량이 훨씬 많기 때문에 반복적인 검사는 피하는 게 좋아요.


MRI 검사 시간
MRI는 검사 시간이 긴 편이에요. 부위마다 다르지만 보통 20분에서 길면 1시간 이상 걸리기도 해요. 가만히 누워 있어야 하고, 검사 중에는 움직이면 안 돼서 힘들어하는 분들도 많아요. 좁고 어두운 공간이 불편한 분들은 폐쇄공포증을 느끼기도 해요. 제 지인은 MRI 찍다가 너무 답답해서 중간에 멈춘 적도 있었어요. 요즘은 개방형 MRI도 있어서 그런 불편을 줄여주긴 합니다.
CT 촬영 부작용
CT 자체는 검사 시간도 짧고 아픈 것도 없어요. 문제는 조영제를 사용하는 경우인데, 이게 부작용을 유발할 수 있어요. 조영제를 맞으면 몸이 따뜻해지거나, 어지러움을 느끼는 분도 있어요. 드물게는 알레르기 반응으로 두드러기나 호흡곤란이 생길 수 있으니, 검사 전 알레르기 이력은 꼭 알려야 해요. 제 친구는 예전에 조영제 맞고 살짝 어지러워서 병원에서 조금 쉬었다 나왔어요.


X-ray와 MRI 정확도 차이
X-ray는 뼈를 보는 데는 아주 좋아요. 그래서 골절이나 관절염 같은 문제는 X-ray만으로도 충분히 확인할 수 있어요. 하지만 연골, 인대, 근육 같은 연부조직은 잘 안 보이죠. 이런 부분은 MRI가 훨씬 정밀하게 보여줘요. 예를 들어 허리디스크나 반월상연골파열 같은 문제는 MRI로만 확실히 확인이 가능해요. 저도 허리통증 있을 때 X-ray는 괜찮다고 했는데, MRI 찍고 나서야 디스크가 튀어나온 걸 확인했어요.
ct mri 차이 X-ray 뇌 검사 차이
뇌 쪽 검사도 목적에 따라 달라요. 뇌출혈이나 외상이 의심되면 빠르게 판단 가능한 CT가 먼저 쓰입니다. 실제로 제 지인은 갑자기 두통과 어지러움이 심해져서 응급실에 갔는데, CT로 바로 뇌출혈 여부를 확인했어요. 이후 좀 더 정밀한 확인이 필요해 MRI도 찍었는데, 작은 병변까지는 MRI가 훨씬 잘 보여준다고 하더라고요. X-ray는 뇌 자체보다는 두개골 상태를 볼 때 사용돼요.


MRI CT X-ray 무릎 검사 비교
무릎 통증이 있을 땐 어떤 검사를 해야 할지 헷갈리죠. 넘어져서 아픈 경우라면 X-ray로 뼈에 이상이 있는지 확인하면 되고, 인대나 연골 같은 구조적인 문제가 의심되면 MRI가 필요해요. CT는 뼈의 미세한 손상을 자세히 볼 수 있어 골절 정밀 진단에 사용돼요. 무릎 연골이 찢어진 친구는 처음엔 X-ray로는 아무 이상 없었지만, MRI에서 연골파열이 발견됐어요.
MRI는 방사선이 없나요?
네, MRI는 방사선을 전혀 사용하지 않는 검사입니다. 자기장과 전파를 이용해 신체 내부를 영상으로 보여주기 때문에 방사선 노출에 민감한 분들에게 좋아요. 임산부나 아이들도 MRI는 상대적으로 안전하다고 알려져 있어요. 다만 몸 안에 금속물질이 있는 분들은 MRI 전에 반드시 알려야 해요. 자기장에 반응해서 위험할 수 있거든요.


CT검사 후 주의사항
CT 검사를 했다고 해서 무조건 주의할 점이 많은 건 아니지만, 조영제를 사용했다면 신장을 보호하기 위해 물을 많이 마시는 게 좋아요. 제 지인은 조영제 맞고 나서 두통이 살짝 있었는데, 수분을 많이 섭취하고 쉬니까 금방 괜찮아졌다고 해요. 당뇨약 중 메트포르민을 복용하는 분들은 CT 검사 전후 복용 일정을 조정해야 하니 미리 의료진과 상담하세요.
X-ray 사진 보는 법
X-ray 사진은 기본 원리를 알면 꽤 흥미로워요. 뼈처럼 단단한 조직은 방사선을 거의 통과하지 않아 흰색으로 보이고, 근육이나 지방 같은 조직은 회색, 공기처럼 비어 있는 공간은 검정색으로 나옵니다. 그래서 폐는 검게, 갈비뼈는 하얗게 보이는 거죠. 물론 정밀한 판독은 전문가에게 맡겨야 하지만, 기본적인 구조만 알아도 진료를 이해하는 데 큰 도움이 돼요.


mri ct x-ray 차이
| 항목 | MRI | CT | X-ray |
|---|---|---|---|
| 검사 방식 | 자기장과 전파 이용 | X선을 여러 각도로 조사 | X선을 한 방향으로 조사 |
| 방사선 노출 | 없음 | 있음 (다소 높음) | 있음 (낮음) |
| 주요 용도 | 뇌, 척추, 인대, 연부조직 | 출혈, 장기 손상, 골절 | 골절, 폐질환 등 |
| 검사 시간 | 20분~1시간 | 수 분 내외 | 수 초 내외 |
| 검사 비용 | 40~100만 원 | 5~30만 원 | 1만 원 이하 |
| 촬영 소리 | 시끄럽고 진동 있음 | 조용함 | 조용함 |
| 폐쇄공포 영향 | 있을 수 있음 | 거의 없음 | 없음 |
| 장점 | 고해상도, 정밀 영상 | 빠른 진단, 3D 영상 | 빠르고 저렴함 |
| 단점 | 비용 높고 시간 소요 | 방사선량 많음 | 연부조직 구분 어려움 |


mri ct x-ray 차이 Q&A
Q1. MRI 검사 전 금속 악세사리를 꼭 빼야 하나요?
A. 네, MRI는 강한 자기장을 사용하기 때문에 귀걸이, 시계, 카드, 벨트 버클 같은 금속류는 모두 제거해야 합니다. 자석에 끌려 장비가 손상되거나 화상을 입을 위험이 있기 때문이에요.
Q2. CT 조영제는 몸에 얼마나 남아 있나요?
A. 대부분 24시간 이내에 소변으로 배출됩니다. 신장이 약한 분들은 시간이 더 걸릴 수 있으니, 검사 후에는 물을 자주 마시는 게 좋아요.
Q3. MRI 촬영 중에 시끄러운 이유는 뭔가요?
A. MRI 장비가 자기장을 빠르게 바꾸면서 생기는 전류가 코일을 진동시켜 큰 소음을 내요. 그래서 귀마개나 헤드폰을 끼고 검사하는 경우가 많습니다.
Q4. X-ray 촬영 시 납 앞치마는 꼭 필요한가요?
A. 네, 방사선을 최소화하기 위한 필수 보호 장비입니다. 생식기나 갑상선 같은 민감한 부위를 보호하기 위해 꼭 착용해야 합니다.
Q5. MRI를 자주 찍어도 괜찮나요?
A. MRI는 방사선을 사용하지 않기 때문에 자주 찍는다고 해서 해롭진 않아요. 하지만 조영제를 사용하는 경우라면 간혹 부작용이 있을 수 있으니 필요할 때만 촬영하는 것이 좋습니다.


Q6. CT나 MRI 중 어떤 게 더 정확한가요?
A. 검사 목적에 따라 달라요. 뼈나 장기 손상은 CT가 빠르고 정확하며, 신경·근육·연골 같은 연부조직은 MRI가 훨씬 세밀하게 보여줍니다.
Q7. 아이들도 CT 검사를 받을 수 있나요?
A. 받을 수는 있지만 방사선 노출량이 성인보다 영향을 크게 미칠 수 있어 꼭 필요한 경우에만 시행합니다. 어린이에게는 MRI나 초음파가 대체로 더 안전합니다.
Q8. 조영제 알레르기가 있으면 어떻게 해야 하나요?
A. 검사 전 의료진에게 꼭 알리고, 이전에 두드러기나 호흡곤란 같은 반응이 있었다면 사전에 예방약을 처방받을 수도 있습니다.
Q9. MRI 촬영 후 두통이 생길 수 있나요?
A. 일반적으로 MRI 자체로 두통이 생기진 않지만, 장시간 누워 있거나 긴장으로 인한 피로감이 원인이 될 수 있습니다. 조영제 사용 시 가벼운 어지러움이 동반되기도 합니다.
Q10. X-ray 결과는 바로 알 수 있나요?
A. 네, 대부분 촬영 후 바로 확인이 가능합니다. 의사가 이미지에서 이상을 발견하면 추가 검사를 권유하기도 하죠.


'오늘의 회복일기' 카테고리의 다른 글
| 폐경기 전조증상 지금 내 몸은 어떤 단계일까 (0) | 2025.10.27 |
|---|---|
| 폐렴구균 예방접종 (0) | 2025.10.27 |
| 뇌수막종 증상 당장 체크해야 할 7가지 (0) | 2025.10.23 |
| 뇌졸중 전조증상 (뇌졸중 신호 체크리스트) (0) | 2025.10.23 |
| 빈혈 있으면 몸에 나타나는 증상 (0) | 2025.10.19 |